【台灣電報記者 玉女/ 台中報導】
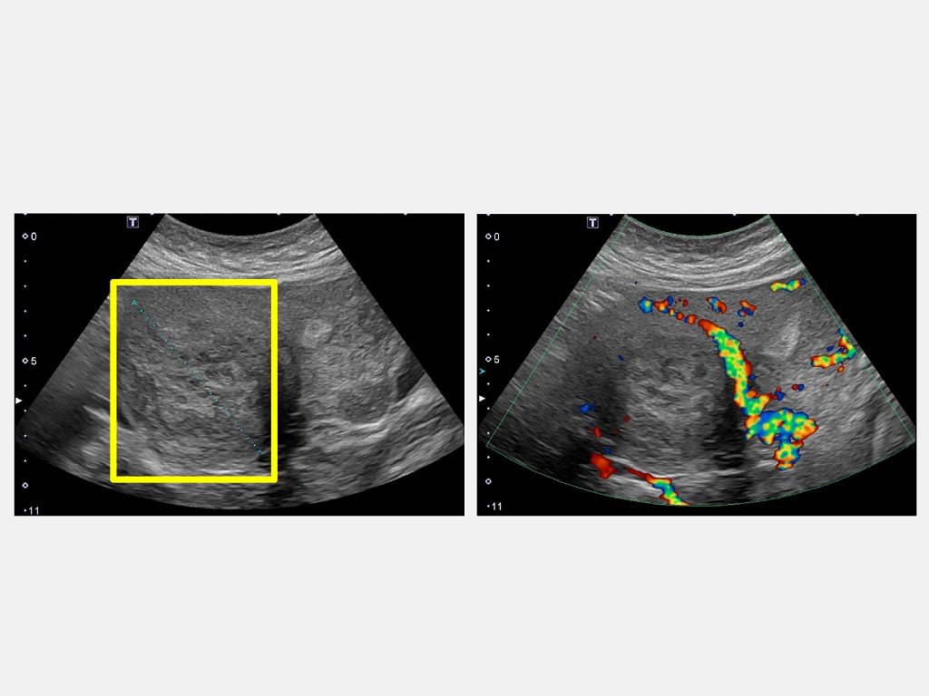
45歲的魏女士因為近半年來出現下腹部悶痛,所以到仁愛長庚合作聯盟醫院(大里仁愛醫院)婦產科林玉珊醫師門診求診,檢查後發現有下腹部悶痛合併壓迫症狀,竟然有7公分的肌瘤。經採用達文西機械手臂系統結合經陰道自然孔手術,於術後一週後即返家休養。由於手術並未在腹部留下傷口,讓魏女士感到非常驚訝,林玉珊醫師表示,傷口只是藏在看不到的地方,這不只是手術傷口變小,更代表病人能更快回到自己的生活與角色中。
林玉珊醫師指出,傳統腹腔鏡手術雖屬微創方式,但仍需在腹部開設多個小切口。經陰道自然孔手術是利用陰道作為自然通道進入骨盆腔,完全免除腹部傷口。第四代達文西機械手臂系統的高解析3D影像讓骨盆腔結構更清楚,機械手臂能在極狹小的空間中完成精細的分離與縫合。病人出血量少、疼痛感輕微,大多數人隔天即可下床,恢復速度比傳統手術明顯更快。
林玉珊醫師說,經陰道自然孔手術雖創傷小,但傳統操作對醫師姿勢與體力要求高。第四代達文西機械手臂系統讓醫師能以坐姿操作控制台,透過細微手指動作即可精準帶動機械手臂。在手術過程中鏡頭穩定、視野清晰,醫師不再需要長時間維持高強度姿勢,能把專注力放在每個細節上,這讓手術更安全,也更優雅。
林玉珊醫師表示,她與院內婦癌及婦女泌尿科醫師密切合作,依據不同病症選擇最適合的手術方式。第四代達文西機械手臂系統讓醫師能在同一系統下執行多種婦科手術,從良性腫瘤切除到婦癌手術、婦女泌尿手術,都能更精確、出血更少,這對病人與醫師都是雙贏。而經陰道自然孔手術主要適用於子宮全切除、特定位置的激流切除及卵巢相關手術,可在沒有腹部傷口的情況下完成治療。
林玉珊醫師強調,仁愛長庚合作聯盟醫院(大里仁愛醫院)婦產科擁有具達文西手術專長的團隊,涵蓋婦科腫瘤、泌尿婦科與微創手術等領域,結合長庚體系的專業支援與第四代達文西系統,持續推動中部地區婦女微創照護的升級,也希望讓婦科手術不只是治療疾病,更是幫助病人以最短時間回到健康與生活的過程。



波新聞─李至文/高雄全台首輛由兒童與青少年聯手創作、以彩繪呈現城市想像的輕軌列車今(22)日在龍華國小站揭幕。高雄市長陳其邁偕議長康裕成,以及立法委員邱議瑩、黃捷與張雅琳共同在車頭畫上象徵歡笑的最後一筆,「童畫號」正式啟動,為高雄增添一幅充滿童趣的流動畫布,也成為城市中一座「孩子的移動美術館」。市長陳其邁表示,感謝高雄捷運公司、「台灣還我特色公園行動聯盟」(特公盟)及市府捷運局合作打造彩繪輕軌,讓孩子能以畫筆描繪心中最深的高雄意象與未來想像,使孩子的創意與聲音在城市中被看見、被聽見。陳其邁指出,孩子是城市重要的成員,但在公共政策的討論中,他們的意見常被忽略。這次活動是高雄第一次真正讓「孩子的聲音」走入城市,也象徵落實《聯合國兒童權利公約》的重要一步。市府將持續推動兒少友善城市,讓每個小朋友都能更自由、更開心地在高雄生活、學習與成長。揭幕儀式上,高雄捷運人氣吉祥物「蜜柑站長」驚喜現身,吸引大小市民熱情合影。「童畫號」自今日起將行駛一個月,陪伴市民在通勤生活中與童心相遇。主辦單位也邀請市民搭乘輕軌尋找這列特別的彩繪列車,與孩子一同在城市蒐集靈感、留下美好照片。民眾更可掃描車廂內 QR code,探索高雄各具特色的好玩公園,讓高雄真正成為一座看見、傾聽並支持孩子的兒少友善城市。
▲生醫科技大廠國璽幹細胞與馬來西亞KWNG集團簽署合作備忘錄(MOU),國璽跨國攜手不僅展現台灣再生醫學的實力,更為馬來西亞寵物醫療市場開創永續發展的新契機。圖左起:國璽幹細胞總經理邱淳芬、KWNG執行長Phr. NG Kee Wei於答約儀式合影。(圖/國璽幹細胞提供) 【報新聞記者羅蔚舟/竹科報導】國際合作,強強聯手!我國生醫科技業開拓南亞地區再生醫療領域開啟全新篇章!國璽幹細胞於11月12日在新竹生物醫學園區 GMP細胞製劑廠,與馬來西亞KWNG集團簽署合作備忘錄(MOU),雙方將攜手推動臨床級幹細胞外泌體產品於馬來西亞寵物醫療市場的應用,國璽這項國際合作策略結盟行動,不僅展現台灣再生醫學科技的雄厚實力,更代表國璽持續深化海外布局計畫再創新里程。 ▲生醫科技大廠國璽幹細胞具備臨床級外泌體研發與製造能力,為再生醫學建立國際品質標準。(圖/國璽幹細胞提供) 根據國際市場研究機構Grand View Research統計,馬來西亞2024年動物醫療市場規模達4.3億美元,預估至2030年將翻倍成長至8.7億美元,2025年至2030年複合成長率高達12.9%,顯示市場潛力強勁。隨著當地家庭飼養寵物比例突破五成,飼主對於寵物健康照護與延緩老化的重視度日益提昇,帶動寵物醫療與保健產業迅速發展。 KWNG集團為馬來西亞知名醫療保健企業,長年深耕人醫領域,涵蓋醫療保健產品開發、居家護理與檢測等多元業務。執行長Phr. NG Kee Wei為藥師出身,秉持專業與創新精神,帶領團隊積極引進新技術與跨領域合作,使集團成為當地醫療生技產業的重要推手。此次與國璽幹細胞攜手合作,欲滿足寵物臨床需求,將臨床級幹細胞外泌體技術導入寵物醫療市場,預期將為馬來西亞動物醫療注入嶄新再生醫學能量。 國璽幹細胞近年來不僅於國內幹細胞新藥臨床試驗上屢有突破,更積極開拓海外市場。該公司擁有臨床級幹細胞與外泌體研發與生產製造能力,具高度市場競爭力。此次與KWNG集團合作,將以臨床級幹細胞外泌體產品為核心,透過集團於馬來西亞的醫療通路與市場資源,導入寵物關節修復、皮膚再生及免疫調理等應用,此次跨國攜手不僅展現台灣再生醫學的實力,更為馬來西亞寵物醫療市場開創永續發展的新契機。 Please enable JavaScript to view the comments powered by Disqus.
地方中心/綜合報導 花蓮縣政府辦理的「尋Way花路」電子集章活動至今(114)年11月9日止,誠摯邀請各界民眾與旅客把握活動最後時光,積極參與,一同探索花蓮豐富、多樣的街區風貌與特色優質好店,感受在地的獨特魅力!透過簡單的LINE電子集章方式,參與者能以實際消費獲得電子章,集章額滿後換取不同額度的電子兌換券,享受多元優惠及折扣。 本活動精選七條主題路線,店家類型涵蓋早午餐、咖啡甜點、異國料理、酒吧熱炒、在地小吃、手作體驗及海岸美景等等,民眾只要至合作店家單筆消費滿新台幣150元,即可透過LINE上傳發票或收據獲得一個章。參加者能依條件兌換價值250元至1,000元不等的電子兌換券,單一路線最高可兌換達2,500元。 活動期間,眾多參與店家推出特殊優惠活動,吸引民眾到店消費 縣府除了準備總價值450萬元的電子兌換券及總價值超過50萬元的抽獎獎品之外,許多店家更祭出活動專屬優惠方案,讓大家可以用最chill的方式集章、開心使用電子兌換券!像是夜市王的人氣攤商原香嘟論竹筒飯、V TREE CAFE、背狗貝果、017 Cafe’、鯨世界賞鯨、心靈食光 Healing Time、明新冰菓店(鳳林店)、芳草古樹風味館、富里深山咖啡Remote Mountains Café,共九間店家讓民眾用更優惠的價格消費集章、使用電子兌換券,千萬不能錯過! 縣府提醒,想盡量多拿幾張電子兌換券的民眾,除了單一路線把缺少的電子章數補上之外,別忘記確認「花路征途獎」集章卡,七大路線的店家只要各集到一個章,就能領取1,000元電子兌換券!想快速拿到抽獎券的朋友,趕快衝一波中區的「慢活Way旅」路線或南區的「食在地Way」路線,這兩個路線每集到5個章,除了跟其他路線一樣會拿到一張抽獎券之外,還能多獲得加碼的兩張抽獎券,等於集5個章一次就拿到三張抽獎券,另外還能同步領取電子兌換券喲!快點把握最後一天的時間,做最後的集章衝刺! 店家的優惠方案,提供更多誘因幫助民眾進行消費集章活動 「尋Way花路」電子集章活動至今日(11月9日)止,消費證明可登錄至11月12日、電子兌換券可使用至11月24日止,不僅可享受等同現金的電子兌換券回饋,更有機會抽到豐富獎品!詳細活動資訊及最新消息,歡迎至「尋Way花路」活動官網(網址:https://explorehualien2025.gosu.bar/index)或FB粉絲專頁(網址:https://reurl.cc/rEN5WN)查詢。 本文為「民生頭條」授權刊登,原文網址
墨新聞|記者鄭富鈺/綜合報導 臺北市在國際智慧城市舞台再傳捷報。在2025 IEEE Smart Cities Contest 中,臺北以「Twin Engines of Taipei’s Smart City: Dashboard Open Source and Open Data Project(雙軸賦能臺北智慧城市—儀表板開源與開放資料)」於全球數十個城市中奪下已開發經濟體組首獎,展現臺北在開源治理與資料基礎建設上的成熟實力,並在全球智慧城市競爭中建立更明確的領先地位。 雙軸賦能臺北智慧城市—儀表板開源與開放資料,於全球數十個城市中奪下已開發經濟體組首獎。[圖片北市府資訊局提供] IEEE Smart Cities Contest 由全球最大專業技術組織 IEEE(電機電子工程師學會)主辦,自 2021 年起舉辦,由跨國智慧城市專家組成評審團,依據其專業分別選出已開發經濟體組及開發中經濟體組之首獎。競賽聚焦城市如何運用技術、數據與治理架構,提升行政效率、城市韌性與創新能力,是全球智慧城市發展的重要觀察指標。 臺北市在國際智慧城市舞台再傳捷報。 北市府資訊局表示,本次獲獎關鍵在於本市推動的「開源 × 開放資料」雙引擎策略。透過全面開放儀表板程式碼與資料標準,臺北將原本封閉的政府系統重構為可共用、可複製的技術框架,使不同型態的專案得以快速導入並延伸使用。 該局說,在此架構下,臺北市透過開源儀表板全面升級城市治理模式,市府能將交通、工務、民政、警消、災防等逾 25 個局處資料整合於同一視覺化平台,透過多元資料的即時交疊,使市政能以更立體、即時、跨領域的方式掌握路網速率、事故熱點、人流變化等指標。資料標準化有利於市府、產業及開源社群可依一致規格開發,全面開源亦讓民間創新成果可直接併入市府系統;目前新北、桃園等城市已採用相同架構,逐步形成可跨市複製的技術生態。 資訊局指出,此模式不僅降低建置成本,也擴大跨部門與跨城市的協作範圍,使城市能持續吸收民間與國際社群的創新能量,加速公共服務的迭代。同時,近3,000筆開放資料與標準化API提升了資料可用性,並降低公私部門開發門檻。臺北城市儀表板自2023年全面開源以來,瀏覽量已突破43萬次,截至2025年11月,GitHub上已累積594次引用再造(fork),並透過臺北程式設計節納入至少19項民間開發組件,且仍持續增加,顯示該專案的影響力不斷擴大,帶動更廣泛的採用與參與機會。 臺北近年獲得 IDC SCAPA、WITSA ICT Excellence Award、GO SMART Award 等國際獎項,並多次名列 IMD Smart City Index 前段位置。臺北的開源治理模式也成為國際研究、期刊與 APO (Asian Productivity Organization亞洲生產力組織)報告引用的重要案例。過去三年,臺北接待超過 300 組國際訪團,累計逾 5,000 名專家與政府代表前來交流。 北市獲獎與市長蔣萬安合影。 資訊局局長趙式隆表示,開源儀表板為城市治理建立了共同語言,使政府、市民、學界與產業得以在同一基礎上發展,加速創意落地並進入公共服務。他指出,臺北將持續深化開源架構與資料治理模式,並擴大跨城市合作,使開源儀表板成為智慧治理的共同基礎。透過可複製、可擴散的技術框架,臺北將與更多城市共享經驗、共同創新,推動更具韌性、效率與包容性的城市發展。 此篇文章最開始出處為: 北市奪下2025 IEEE 智慧城市首獎 開源治理登上國際舞台
【賴傳媒、記者爆料網 王俊勝/台南報導】永康國小今(2)日教室與餐廳都特別熱鬧,因為校方推出結合《臺南好吉曆》的「四季五行特色午餐」,將春夏秋冬與五行、五色飲食融入菜單,讓孩子不只吃得健康,也能透過體驗課程認識在地農作與節氣飲食。校方希望透過實際品嘗、遊戲互動,讓「吃當季、食在地」不再只是口號,而是在孩子生活中自然發生的習慣。 ▲四季五行入菜!永康國小「彩色午餐」吸睛,小學生邊吃邊學:原來地瓜是秋天最甜(圖/記者王俊勝 翻攝) 永康國小營養師王瓊嫣表示,此次餐點以中醫五行飲食為概念,對應四季養臟理論:春綠護肝、夏紅養心、季末黃補脾、秋白潤肺、冬黑養腎。從營養學來說,綠富纖維、黑含花青素、白具多醣體、黃含胡蘿蔔素、紅則富茄紅素,正好與均衡營養攝取相呼應。「傳統食養與現代營養學其實一樣都在說健康,要吃得多樣、吃得當令。」王瓊嫣笑說。 今日午餐依循「五色入菜」,全套料理看得出巧思。季末以「黃」為主題,新化地瓜搭栗子變身地瓜栗子飯;春季綠食用七股紅蔥頭炒菠菜、夏季紅料理是鹽水小番茄炒蛋;秋季白色食材則端上蘿蔔玉米湯;冬季暖身則以西港黑麻油配香菇煮成麻油香菇雞,營養繽紛、一盤看見台南。 ▲四季五行入菜(圖/記者王俊勝 翻攝) 除了吃,孩子也動起來!閱推教師謝佩瑩帶領學生玩《臺南好吉曆》桌遊,讓孩子在翻牌、配對、搶答的過程中學節氣、認農產,更知道小番茄是夏季盛產、白蘿蔔是秋冬強檔。課堂笑聲不斷,有學生興奮分享:「原來我喜歡的地瓜是秋天開始變甜的!」知識透過遊戲走進孩子心裡。 校長洪國展說,學校希望以「吃」作為教育的起點,讓孩子在每日午餐與課堂活動中,自然理解環境、農產、季節與健康的連結。「飲食是文化,更是習慣。」洪國展認為,當孩子學會吃當季、愛土地,這份觀念便能延續進生活,化成永續校園的底色。 ▲小學生邊吃邊學(圖/記者王俊勝 翻攝) 永康國小的「四季五行午餐」不只是美味,更是一堂可吃可玩的食農課程。校方期盼,孩子未來走進市場看到在地蔬果,能自信說出它來自哪個季節、怎麼吃最好,讓飲食教育從校園發芽,終有一天,在台南每張餐桌上開花。 本文為「記者爆料網」授權刊登,原文網址
By - Admin, 0 Read, 十二月 5, 2025
▲竹市天主教仁愛基金會將於12/6舉辦學習成果暨親子活動,仁愛學員以自信笑容和滿滿活力帶來熱力四射的「癡情玫瑰花」舞蹈表演。(圖/新竹仁愛基金會提供) 【報新聞記者羅蔚舟/新竹報導】歲末佳節期間,114年12月6日(星期六)下午2:30在新竹市天主教仁愛基金會(新竹市東區慈祥路2號)舉辦「希望聖誕.有你最閃」學習成果暨親子活動,展現身心障礙朋友努力學習的成果,有精彩的話劇、舞蹈、合唱等多元節目,以及新竹市立交響樂團木管五重奏,讓現場彷彿置身音樂廳! ▲竹市天主教仁愛基金會將於12/6舉辦學習成果暨親子活動,邀大家共襄盛舉關懷。今年募款特別困難,仁愛目前尚缺200萬元服務經費,懇請社會各界持續支持身心障礙服務。(圖/新竹仁愛基金會提供) 仁愛基金會附設晨曦發展中心主任陳秋蓮表示,該中心服務18歲以上的心智障礙者有134人,提供成人日間照顧、多元學習及體能復健活動等服務,促進身心健康與生活品質,協助邁向生活自立與社會參與。今年的聖誕表演,服務對象與教保員都積極練習,將以話劇「特別的聖誕奇蹟」揭開序幕,傳遞愛與奇蹟的力量,接著帶來動感的舞蹈,展現自信與對夢想的期待。晨曦家長合唱團也演唱經典好歌〈新竹風〉和兩首輕快的舞曲。 最後,由竹市交木管五重奏帶來美妙的音樂饗宴,陳柏穎總監擔任音樂導聆,帶領觀眾欣賞〈Let It Go〉、〈Mamma Mia〉、〈YMCA〉及〈四季紅〉,並與天使打擊樂團攜手演出聖誕組曲,用動人旋律獻上最溫暖的祝福。誠摯邀請社會大眾共襄盛舉,一同歡慶聖誕,點亮幸福。 ▲竹市天主教仁愛基金會將於12/6舉辦學習成果暨親子活動,身心障礙朋友特別演出「特別的聖誕奇蹟」話劇,傳遞愛與奇蹟的力量,邀大家共襄盛舉關懷支持仁愛基金會身心障礙服務。(圖/新竹仁愛基金會提供) 仁愛基金會執行長林湘雅表示,身心障礙朋友透過表演和手作品展示,與家長屬、愛心單位及社區民眾分享成果,增進情感交流,營造溫暖互動與節慶氛圍。感謝天主教天使教堂、英業達基金會、高通半導體、台灣應材、吳尊賢基金會、聯電燭光社、沃亞科技、林祺彬皮膚專科診所、佳霖科技、雲吉資本、永大基金會、建林基金會、顧氏基金會、宜特科技、德凱宜特、國富基金會、昕陽診所、新竹市不動產開發商業同業公會、新竹市醫師公會、瑞昱半導體、欣銓科技、哲毅機電、竹勝科技、竹光獅子會等愛心單位贊助服務經費,讓愛與希望在生活中持續閃耀。 同時,仁愛基金會感謝新竹市立交響樂團馮璞團長長期支持公益演出,以及新竹市勞動力援助人員職業工會等四個單位捐贈400份聖誕點心,分享甜甜好滋味。 ▲竹市天主教仁愛基金會將於12/6舉辦學習成果暨親子活動,仁愛服務對象與教保員攜手共舞演出「那道彩虹」,化作舞台上最閃耀的光彩。(圖/新竹仁愛基金會提供) 仁愛基金會表示,今年募款特別困難,仁愛目前尚缺200萬元服務經費,懇請社會各界持續支持身心障礙服務。愛心捐款劃撥帳號:50108020戶名:仁愛社會福利基金會。活動專線03-578-4633分機1688公事組。衛生福利部勸募核准文號:衛部救字第1131364724號 (許可期間:114年1月1日至114年12月31日) Please enable JavaScript to view the comments powered by Disqus.
By - Admin, 0 Read, 十二月 4, 2025
商傳媒|記者責任編輯/綜合外電報導 隨著全球無人機技術進入關鍵應用階段,亞洲無人機產業鏈迎來大進擊。漢翔宣布與美國Vantor Technologies簽署Raptor Guide導航軟體整合與分銷協議,正式進軍無人機「抗干擾韌性導航」市場。同時,台灣無人機新創公司翔探科技(Aeroprobing)與日本Blue Innovation也完成品牌授權協議,雙方預計於2026年在亞洲啟動物流等多項無人機業務,為區域產業合作打下戰略基礎。 漢翔於美國時間12月2日,在全球最大軍事模擬展會「I/ITSEC 2025」宣布與美國Vantor(前身為Maxar Intelligence)完成Raptor Guide整合與代理分銷協議,擴展其無人機市場布局。這次簽署由漢翔總經理曹進平與Vantor首席轉型長(CTO)Will Cocos代表完成;雙方早於今年9月於台北航太展簽署合作備忘錄,如今是技術整合與市場授權正式落地。 Raptor Guide導航系統是一套可在無GPS環境下精準定位的核心技術,透過即時影像與高精度3D地圖比對,可達成小於7公尺的絕對定位精度,屬於當前無人機抗干擾能力的關鍵應用。 漢翔補充說明,11月雙方已完成搭載Raptor系統的原型無人機飛行驗證,顯示即使不使用昂貴的抗干擾天線或雷達,亦可憑藉光學鏡頭與演算法實現精準導航,有效降低單機成本與維護負擔,滿足國防部「消耗性、高產能、抗干擾」的採購指標。 另一方面,翔探科技於12月3日宣布與日本Blue Innovation(藍色創新)正式簽訂品牌授權協議,預計自2026年1月起,在亞洲地區全面推進無人機物流業務。根據雙方公告,本次協議是基於今年7月簽署的合作備忘錄(MOU)深化而成,早在2019年起,雙方即透過軟體開發計畫展開技術合作,陸續完成多項原型測試與驗證專案。 翔探科技具備AI影像技術與無人機硬體研發實力,已在東南亞多國於建設、農業與物流領域累積豐富實績,2022年更於日本設立法人,展開產品研發、銷售與售後支持,積極搶攻日本市場。Blue Innovation則透過此次品牌授權,期望導入Aeroprobing的技術力與量產能力,根據亞洲不同市場需求,提供地區化物流解決方案,拓展無人機產品應用深度與廣度。
By - Admin, 0 Read, 十二月 4, 2025